기흉은 폐의 공기 누출로 발생하는 심각한 상태로, 초기 증상을 파악하고 대처하는 것이 중요합니다. 이 글에서는 기흉의 초기 증상 및 효과적인 대처법을 소개합니다.
기흉이란 무엇인가?
기흉은 폐와 흉벽 사이의 공간에 공기가 축적되는 상태를 말합니다. 이로 인해 폐의 확장과 수축이 방해받아 호흡이 어려워지며, 경우에 따라 심각한 합병증으로 이어질 수 있는 상황입니다. 기흉은 대개 외부 충격이나 심한 기침, 혹은 선천적인 폐의 이상으로 발생할 수 있습니다. 폐를 둘러싸고 있는 흉막이 손상되면서 공기가 들어가게 되는 것이죠. 이를 알고 있으면 기흉에 대해 더욱 경각심을 가질 수 있습니다.

우리가 흔히 살아가면서 경험할 수 있는 여러 건강 문제 중, 기흉은 비교적 덜 알려진 편입니다. 많은 사람들이 기흉에 대해 간과하고, 초기 증상을 무시할 수 있는데, 이는 매우 위험한 상황을 초래할 수 있습니다. 기흉이 발생했을 때 나타나는 초기 증상을 알면, 신속히 대처할 수 있는 기회를 가질 수 있습니다. 어떤 증상들이 우리를 경고하는지 함께 알아보는 시간을 가지면 좋겠습니다. 기흉의 초기 증상은 무엇일까요?
기흉 증상 6가지
1. 갑작스러운 흉통
기흉이 발생하면 가장 먼저 느끼는 증상 중 하나가 바로 갑작스러운 흉통입니다. 이 통증은 대개 날카롭고, 숨을 쉴 때 더욱 심해질 수 있습니다. 일반적으로 기흉 증상으로 이야기되는 흉통은 가슴의 한쪽 부분에서 느껴지며 환자가 불안감과 함께 숨이 가쁜 느낌을 경험하게 만들지요. 이처럼 심각한 통증을 느낀다면 빠르게 의료기관을 방문하는 것이 좋습니다. 흉통이 단순한 통증인지, 아니면 기흉에서 오는 신호인지 전문가의 진단이 필요합니다.
2. 호흡 곤란
기흉이 있을 경우, 본래 숨쉬기가 힘든 상황에서 더욱 심각한 호흡 곤란을 경험하게 됩니다. 폐의 일부가 제대로 작용하지 않으면, 산소교환이 원활히 이루어지지 않아 불안과 두려움이 동반될 수 있습니다. 이러한 증상은 기흉 발생 초기에 나타나며, 특히 신체 활동을 할 때 더욱 두드러지기 때문에 주의가 필요합니다. 이 단계에서 몸에 주의를 기울인다면 기흉 초기 증상을 인식하고 신속히 대처할 수 있을 것입니다. 더 많은 이야기가 궁금하시다면, 다음 증상으로 넘어가 볼까요?


3. 가슴의 압박감
기흉 발생 시 가슴에 눌리는 듯한 압박감을 느낄 수 있습니다. 이는 마치 무거운 짐이 얹힌 듯한 느낌으로, 숨을 쉴 때마다 더 강해질 수 있습니다. 가슴의 압박감은 심리적으로도 환자를 힘든 상황으로 내 몰게 되며, 특히 불안감이 더해질 수 있다는 점에 유의해야 합니다. 친구와의 대화나 간단한 활동조차 힘들게 만들 수 있으므로, 이런 감각이 느껴지면 즉시 진단을 받아보는 것이 좋습니다. 다음으로 기흉의 또 다른 증상인 기침에 대해 알아볼까요?
4. 기침
기흉으로 인한 기침은 일반적인 기침과는 다르게 발생할 수 있습니다. 이때 기침은 통증을 동반할 수 있으며, 가끔에는 피가 나오는 경우도 있습니다. 기침이 자주 나고, 통증을 느끼면서 심해질수록 빨리 병원에 가야 합니다. 기침이 가벼운 것이 아니라면, 이는 기흉의 징후일 수 있습니다. 기흉의 진단을 위해 각종 검사가 진행될 수 있음을 알려드립니다. 어떤 방식으로 기흉이 진단되는지는 궁금하신가요? 그 내용을 부연 설명해 드리겠습니다.
5. 청색증
기흉으로 인한 호흡 문제가 심각해지면 입가와 손가락의 청색증이 나타날 수 있습니다. 이는 몸의 산소 공급이 저하되었음을 나타냅니다. 특히 청색증은 즉각적인 조처가 필요한 신호로, 기흉으로 인해 심각한 상태일 수 있습니다. 이럴 경우 산소 치료가 필요해질 수 있으며, 적절한 시기에 병원에 가는 것이 생명을 지킬 수 있습니다. 무엇보다 기흉의 속성과 이로 인해 발생할 수 있는 사례를 계속해서 알아보면 좋겠습니다.



6. 피로감
기흉이 지속적으로 문제가 될 경우 몸의 기운을 급격히 소모하게 됩니다. 산소 흡입이 어려워지면, 힘이 빠지며 피로감이 느껴질 수 있습니다. 이는 정상적인 생리적 기전에서 벗어난 상태라 할 수 있습니다. 피곤함이 느껴진다면 반드시 의료진과 상담하여 적절한 조치를 취하는 것이 필요합니다. 짧은 시간 안에 경과이어질 수 있으므로, 빠른 대처를 하여 건강을 돌보는 것이 중요합니다.
기흉 대처법
기흉 초기 증상을 알아챘다면, 가장 먼저 해야 할 일은 즉각적인 도움 요청입니다. 주변 사람들에게 도움을 청하고, 가능한 한 빨리 의료기관을 방문해야 합니다. 기흉의 치료는 증상의 정도에 따라 다양하므로, 전문가의 진단이 중요합니다. 때로는 간단한 진단과 처치로 해결될 수 있지만, 때로는 심각한 상태에서는 기흉 수술이 필요할 수도 있음을 명심해야 합니다.
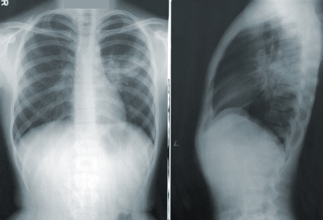
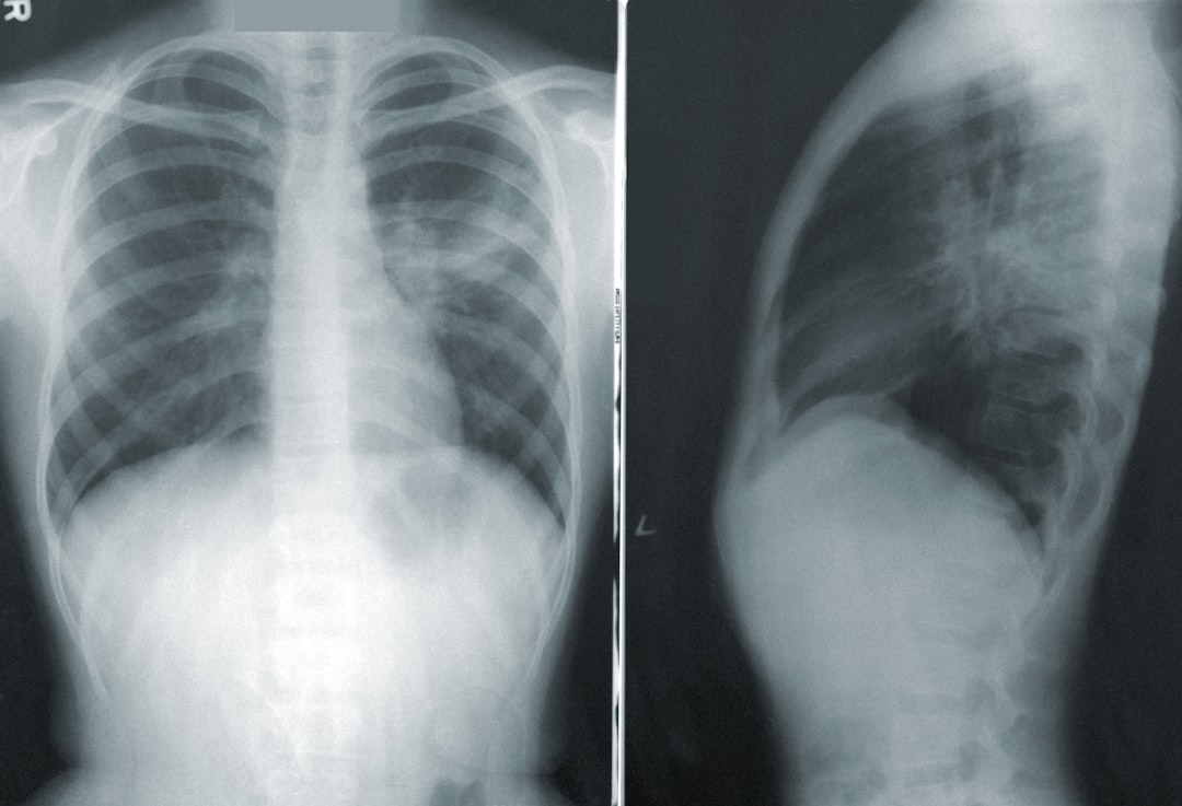
의료기관에 도착하면 우선적으로 필요한 검사를 진행하게 됩니다. 이러한 검사들에는 흉부 X선이나 CT 촬영 등이 포함될 수 있습니다. 이후 검사를 바탕으로 가장 적절한 치료 방법을 의사가 제안할 것입니다. 기흉 치료는 상황에 따라 다르므로, 전문가의 의견을 존중하고 따르는 것이 필요합니다. 기흉 검사의 중요성을 간과하지 않고, 모든 단계를 놓치지 않아서 내 건강을 지키는 것이 좋겠죠!
기흉 수술비와 합병증
기흉 수술의 경우, 상황에 따라 비용이 달라질 수 있습니다. 일반적으로 기흉 수술비는 의료기관에 따라 차이가 있으며, 보험이 적용되는 경우도 있으니 참고하시기 바랍니다. 또한, 기흉 수술 후 후유증도 문제가 될 수 있어 주의가 필요합니다. 어떤 합병증이 발생할 수 있는지를 미리 이해하고 대비하는 것이 중요합니다.



기흉 예방 및 관리 방법
기흉 예방을 위한 관리 방법으로는 적절한 식사와 운동이 포함됩니다. 기흉에 좋은 음식으로는 과일과 채소가 풍부한 영양 식단이 추천됩니다. 이는 폐와 호흡기 건강을 증진시킬 수 있습니다. 정기적인 건강 검진 또한 중요하니, 간과하지 마세요. 기흉은 예기치 않게 찾아올 수 있지만, 예방과 관리로 힘들지 않게 넘어가는 것이 가능하답니다.
이런 글도 읽어보세요
자세교정으로 활력 찾은 내 일상 변화
자세교정이 내 삶을 어떻게 변화시켰는지, 이를 통해 얻은 활력과 일상의 기쁨을 나누고자 합니다. 자세교정의 필요성과 그 실천 과정에 대해 심도 있게 이야기해볼게요.자세교정의 시작: 변화
g620.jhcin.co.kr
안면도 물때표 따라하기 조개캐기 포인트와 갯벌체험 팁
안면도의 조개캐기를 즐기기 위해 꼭 필요한 안면도 물때표 활용법과 체험 팁을 알아보세요. 물때를 제대로 이해하면 더욱 아름답고 풍성한 갯벌 체험이 기다립니다.안면도 물때표 이해하기안
g620.jhcin.co.kr
비타민C과일 다채로운 선택지와 효능
비타민C과일은 건강을 지키는 중요한 과일입니다. 비타민C 풍부한 과일은 면역력을 높이는데 도움을 주며, 다양한 맛과 식감을 제공합니다. 이 글에서는 비타민C과일의 장점과 효능을 알아봅시
g620.jhcin.co.kr
FAQ
기흉의 주 원인은 무엇인가요?
기흉의 주 원인은 일반적으로 폐의 손상으로 인해 발생합니다. 이는 외부 충격이나 선천적 폐 이상, 다른 질병으로 인해 기흉이 생길 수 있습니다.
기흉 증상은 언제부터 나타나나요?
기흉의 증상은 비교적 빠르게 나타날 수 있습니다. 갑작스러운 흉통이나 호흡곤란이 주요 증상이므로, 주의 깊게 지켜보아야 합니다.
기흉 치료는 어떤 방식으로 진행되나요?
기흉 치료는 초기에 약물 치료에서 시작될 수 있으며, 상황에 따라 수술이 필요할 수 있습니다. 퇴원 후에도 지속적인 관리가 요구됩니다.